|
近日,一场紧张而又惊心动魄的生命救援在我院上演。我院医务人员凭借敏锐的反应能力、扎实的专业能力,多学科协作成功救治了一名不慎吞下手表表扣的小患者。
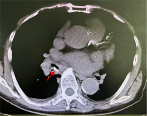
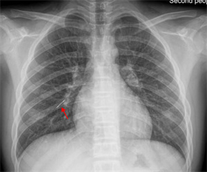
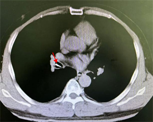
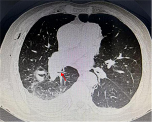
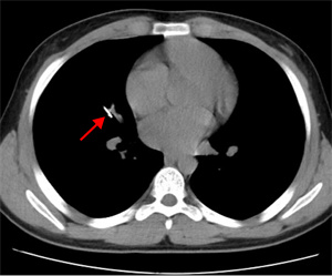
10月18日夜间急诊,来了一位14岁小患者,他在将手表零件放口中玩耍时,不慎吸入气管内。气管内异物是十分危急的,随时可能危及生命。小患者自觉胸闷不适,不时有咳嗽。急诊胸片和CT可以清晰地显示位于右中叶内侧段一长约2.3cm针形异物,两端较尖,急诊科医生程争启紧急联系呼吸与危重症医学科会诊,白克林主任考虑金属异物锐利可能损伤肺内血管造成大出血,准备急诊行内镜取异物。疼痛科、内镜室医务人员迅速反应,立即从家中赶往医院,争分夺秒做好各种术前准备工作。

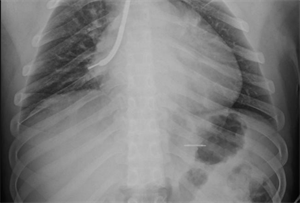
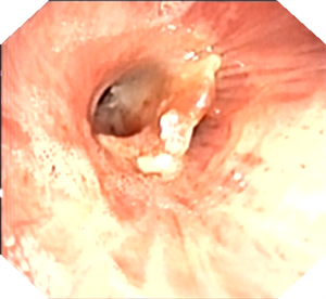
白主任还邀请消化内科副主任吴斌、胸外科许涛医生一同到场,齐心协力保障患儿。然而,白主任用支气管镜反复多次查找,却始终没有发现异物,同时使用小探头超声内镜扫描,也一无所获。考虑有移位可能,白主任果断建议床旁摄片,进行气管镜下定位。时间紧迫,影像科技师汪津立刻带着机器来到气管镜室。经过摄片,发现金属异物显影在了胃泡里!

此时,消化内科吴主任直接接过 “接力棒”。在疼痛科主任朱华忠无痛麻醉监护及内镜护理人员配合下,成功取出异物——手表表带的生耳针。这一异物在支气管镜诊疗前,从患者支气管内咳出后又被吞入胃中。当异物被成功取出的那一刻,在场所有医务人员悬着的心终于放下。虽然当时已至凌晨一点多,但大家毫无疲惫之感,心中唯有成功救治患者后的喜悦。

在多学科紧密合作下,这名小患者入院仅一个多小时就顺利取出异物。经过一夜的住院留观,第二天便顺利出院。此次急救充分展现了我院多学科联动的高效性和强大的医疗实力,以及医护人员们对生命的敬畏和高度的责任感。
近期,类似的支气管异物吸入案例在我院还有很多,专家提醒需引起高度重视。
一位80岁的脑梗死、老年痴呆患者,多次在神经内科就诊,反复出现右下肺炎症伴肺不张,且伴有发热,病情不断加重。在我院呼吸科会诊后,细心的医生从老人胸部 CT 影像中发现关键问题——可疑支气管异物!为进一步明确,呼吸科医生为患者进行支气管镜检查,果然在其右下叶支气管内发现一枚动物骨头异物,并顺利取出,同时吸除大量堵塞支气管的脓液,患者肺部炎症得到有效控制。
一位外地老年男性患者,因 “肺炎” 一直咳嗽、气喘不愈,活动量差。在当地医院多次住院治疗,症状仍无明显改善。后因 “液气胸” 急诊入我院,呼吸科医生仔细阅片后发现,患者右中间段支气管内有一类圆形 “新生物” 阻塞管腔。收住院后,呼吸内镜团队为患者进行全麻支气管检查,清晰见到右中间段支气管内一黄豆异物阻塞。由于异物 “圆滑”,直接取出困难,医生巧妙地用圈套器 “捆扎” 住黄豆,顺利完整拉出,患者快速康复出院。
鲜美的动物骨髓深受很多人喜爱。一位中年患者清晨急匆匆来到我院呼吸科住院部。主诉前一天晚餐吸食猪骨髓时,不慎将食物吸入气管,出现反复剧烈咳嗽,并有咯血。我院呼吸科医生在其急诊胸部CT中发现右中间段支气管有一 “刀片样异物” 横在管腔内。评估病情并做好预案后,医生顺利取出一锐利骨片异物,有效阻止了 “利器” 造成肺内出血恶果的发生。
支气管异物指由于各种原因经口误将豆类、花生米、骨头、大块食物团等异物吸入支气管内堵塞气道造成剧烈咳嗽、呼吸困难甚至导致窒息的急症。根据气管或支气管堵塞部位、堵塞程度、堵塞发展的速度及患者心肺功能等因素,患者可出现剧烈呛咳、呼吸困难或晕厥等紧急危险的情况,若不在短时间内解除气道阻塞可因缺氧而死亡。一些异物在气道内长期嵌顿,可刺激支气管粘膜水肿及肉芽组织增生,完全阻塞支气管,导致局部肺组织膨胀不全、阻塞性肺炎和肺脓肿,主要表现为反复发热、咳脓臭痰等感染表现。
儿童:家长要教育儿童不要有口内含物的习惯;进食食物时,避免哭笑;发生呕吐时,应把头偏向一侧,避免误吸;咽部有异物时设法诱导其吐出;小于3岁儿童应尽量少吃干果、豆类;小件物品应放在儿童拿不到的地方,年幼儿童需在监护下玩要。
成人:进食时尽量不要大笑,不要边走边进食;对于有心脑血管如脑梗死、脑出血、帕金森等基础疾病的老年人,更应该格外小心,进食时床头应抬高,尽量不要进食含有骨头、硬核或者比较圆的食物,以免误吸进入气道。
|