池州市第二人民医院欢迎您!
加入收藏 | 设为首页
网站首页 医院概况 新闻动态 学科介绍 教学科研 健康宣教 党群工作 信息公开 政策法规 下载中心
新闻动态
院务公开
更多>>
医患故事|细微处显温情 池州...
以练促防 以情暖心——我院重...
护路勤为径 考核促提升|我...
护理叙事:轮转与进修护士的淬...
人文护理⑥|普外科以刀为刃治...
“心梗拨打 120,胸痛中心...
>> 您现在的位置: 首页 >> 新闻动态 >> 元宵节的“生命护航人” ——与时间赛跑的神经内科介入团队
元宵节的“生命护航人” ——与时间赛跑的神经内科介入团队
作者:池州二院 发布日期:2025/2/14 9:52:20 浏览次数:

打印本页】【关闭窗口】        

在刚刚过去的元宵节,池州市第二人民医院神经内科介入团队争分夺秒,成功救治了多位脑血管疾病患者,以实际行动诠释了“时间就是大脑”,成为节日里守护生命的“护航人”。

凌晨四点的“大脑保卫战” 

元宵节凌晨4点,60岁的胡先生因左侧肢体无力、言语不清,被紧急转送至我院。经检查,胡先生右侧脑梗死,且仍有大片缺血低灌注区域,右侧大脑中动脉完全闭塞,情况十分危急。神经内科介入团队迅速启动卒中绿色通道,立即为其行大脑中动脉急诊再通手术。术中,医生通过球囊扩张并置入血管支架,成功实现血管再通。当晚,胡先生左侧上下肢无力症状明显改善,肢体力量恢复,言语也变得清晰。

△图一:手术前右侧大脑中动脉闭塞

△图二:手术后闭塞的大脑中动脉已再通


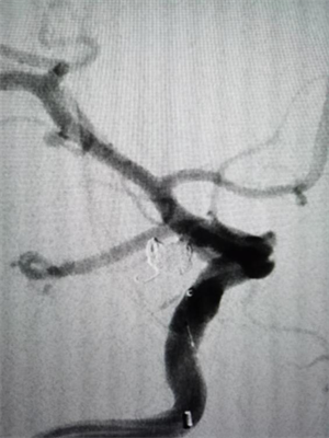
颅内动脉瘤破裂的“生死逆转战”

当天上午,64 岁的袁女士因突发剧烈头痛、呕吐急诊入院。CT显示蛛网膜下腔出血,进一步行头颈CTA检查确诊为颅内动脉瘤破裂。这是一种死亡率极高的疾病。神经内科介入团队在上级专家的指导下,迅速实施急诊栓塞手术,通过微导管将弹簧圈精准填入瘤体,成功栓塞破裂的动脉瘤。此类手术要求极高的精细度,术中需平衡栓塞效果与血管保护,我院团队的快速响应为患者赢得了生机。目前,袁女士神志清楚,病情稳定。

△图一:手术前可见后交通动脉瘤合并多个突起

△图二:手术后动脉瘤已经栓塞,造影不可见


 椎动脉狭窄的“通路攻坚战”

同样在元宵节当天,75岁的黄奶奶因头晕、意识丧失被送医。检查发现其左侧椎动脉闭塞、右侧椎动脉重度狭窄,广泛动脉硬化斑块形成。神经内科介入团队评估后,为其实施了脑血管造影+经皮椎动脉支架置入术。手术顺利完成,黄奶奶术后头晕症状消失。这一案例再次提醒中老年人群,尤其是有血管病危险因素的人,定期进行血管检查十分必要。

△图一:手术前右侧椎动脉重度狭窄

△图二:手术椎动脉置入支架后

铅衣下的节日坚守

春节期间脑血管病高发,熬夜、饮酒、情绪波动等成为主要诱因。面对紧急情况,池州市第二人民医院神经内科介入团队始终保持高度警惕,分秒必争,建立"双值班+备班"机制,从绿色通道的快速启动,到影像学的精准评估,再到手术方案的个性化制定,团队成员紧密配合,每一步都考验着技术与默契。


元宵明月见证医者仁心

无影灯下续写生命奇迹

据统计,春节期间池州市第二人民医院神经内科介入团队共完成9台急诊手术,包括取栓、动脉瘤栓塞等。这群"铅衣战士"用坚守将危机转化为生机,正如患者家属所言:"他们抢回的不只是时间,更是无数家庭的圆满。"



       上一篇:跨越万里的生命守护|池州市第二...  下一篇:后续!从病例到科普,脑血管疾病...
地址: 池州市秋浦西路125号 电话:0566-2025800 备案号:皖ICP备12019001号-1
Copyright 2012 All rights reserved 版权所有:池州市第二人民医院 技术支持:博众网络