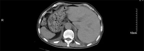
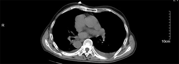
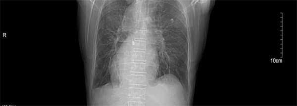
汪大爷因“反复胸闷气喘1周伴头昏”在当地卫生院就诊,心电图检查显示高度-III度房室传导阻滞(心室率40次/分)和镜像右位心心电图。由医共体转诊中心转至我院进一步诊治。入院后,行24小时动态心电图和心脏彩超检查发现,患者不仅患有II度房室传导阻滞,呈2:1下传(最慢心率35次),交界性逸搏伴干扰性房室分离。彩超更是发现汪大爷还是一位罕见的镜面右位心,其心脏及腹腔内脏器官位置与正常人完全相反,如同正常脏器的 “镜中像”,这种先天性畸形的发生几率约为1/100万。

汪大爷最终被诊断为高度房室传导阻滞、镜面右位心和慢性心衰,病情十分危险。心血管内科团队评估后认为,若不及时植入心脏起搏器,汪大爷随时面临心衰加重和猝死的风险。尽管心脏起搏器植入术在池州市第二人民医院是常规手术,但为“镜面人”实施手术难度却极高。医生需要将手术习惯和技巧进行180度“转位”,这不仅要求医生有过硬的基本功和扎实的理论基础,还需对解剖结构和影像学检查熟练掌握,否则稍有不慎就会造成严重的脏器损伤。