|
近日,我院介入血管外科团队成功为一例大咯血患者实施急诊支气管动脉栓塞术(BAE),及时解除了患者的生命危险。该手术的成功开展,标志着我院在咯血介入治疗领域迈入区域领先水平,为周边地区患者提供了更为优质、高效的医疗选择。

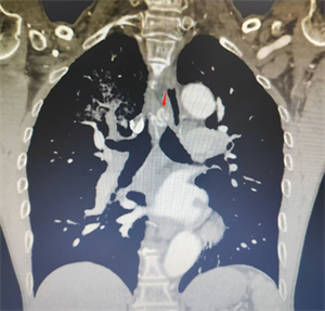
患者周爷爷(化名),71岁,因“咯血3天余”入院,住院期间经药物保守治疗效果欠佳,突发咯血加重(图1),脉氧下降至93%左右,情况危机。介入血管外科会诊后,考虑支气管动脉破裂出血,需立即行急诊BAE治疗。
 
患者高龄,脉氧偏低,且支气管动脉变异较多,术中超选困难,无疑增加了手术时间,手术难度较大。术前,介入血管外科团队结合患者胸主动脉CTA横轴位及三维重建图像,精准评估出血责任血管的开口位置,有效缩短了术中超选目标血管时间。术中在超选出血责任血管后,采用PVA颗粒联合弹簧圈对出血支气管动脉主干进行精准栓塞,术后造影显示原出血动脉血流消失,手术顺利完成,患者咯血症状得以缓解,术后恢复良好,并于术后第三天康复出院。
 
是严重的呼吸系统急症之一,严重者可能导致窒息而危及生命,其治疗方法多样,包括药物保守治疗、气管镜下介入治疗、血管介入及外科手术等方法。其中,支气管动脉栓塞术(BAE)是咯血治疗的重要介入方法,具有创伤小、止血效果好等优点,已广泛用于临床咯血治疗,尤其在大咯血紧急抢救中发挥着重要的作用。
支气管动脉栓塞术
支气管动脉栓塞术(bronchial artery embolization,BAE)是一种微创血管介入技术,其基本原理是利用导管造影显示支气管动脉或非支气管性体动脉发现可能引起咯血的责任血管,通过导管将栓塞材料定向注入责任血管,同时减少血流量、降低远端血管压力,启动内源性和外源性凝血途径,继而促进局部血栓形成进一步达到止血目的。
该技术主要适用于以下情况
01 反复大咯血,胸部病变广泛、肺功能差,无法作肺切除的患者
02 需要手术治疗,暂不具备手术条件,需要先控制出血者
07 肺癌患者无肺外转移,原则上应动脉内化疗或与栓塞同时进行。
|